treatments-veneers

Veneers

Your Smile Makeover

treatments-bonding

Bonding

The Conservative Approach to a Smile Makeover

treatments-whitening

Tooth Whitening

Brighten Your Smile By up to 3-7 Shades in Just One Visit

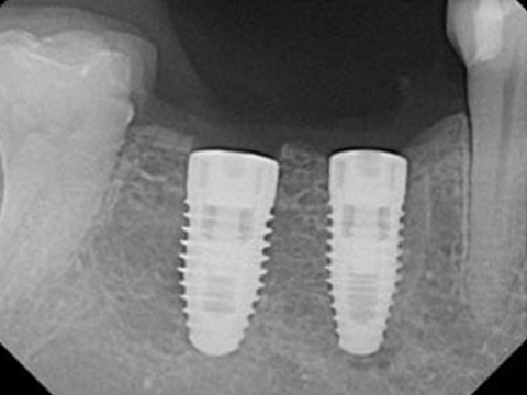
Implants

Implants

A Great Way to Replace Missing Teeth

Invisalign

Invisalign

A Modern Approach to Straightening Your Teeth

Restorative

Restorative

Caring for All Your Restorative Needs Including: Crowns, White Fillings, Inlays, Onlays, Bridges, Dentures and More.