Have a look at the smiles we’re most proud of!

Featured Smiles

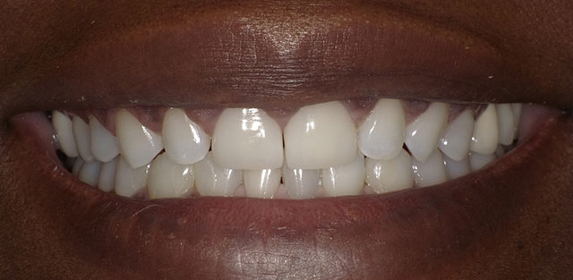
Lyor

Lyor Before Lyor After
Lyor Before Lyor After

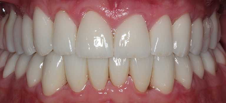
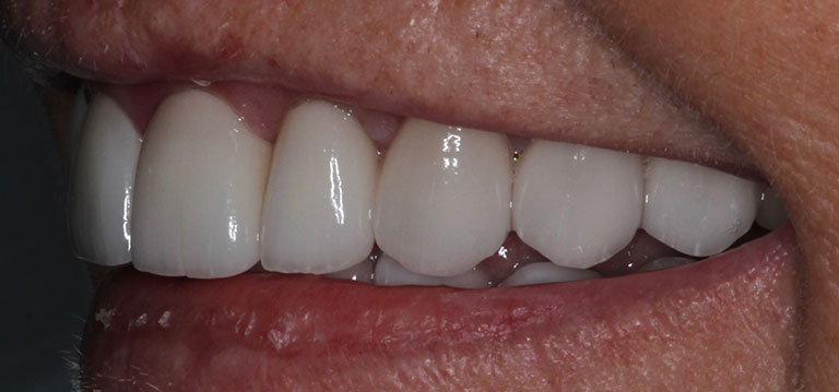
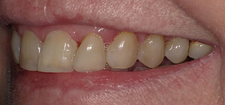
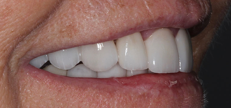
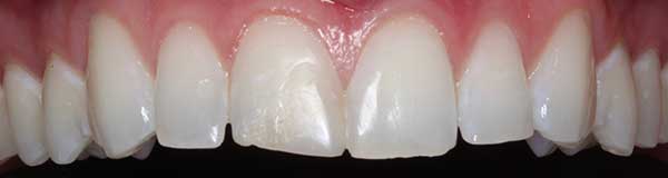
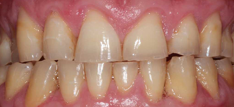
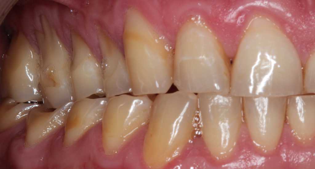
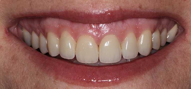
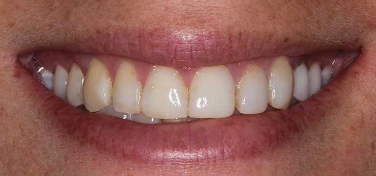
Tricia

Tricia Before Tricia After
Tricia Before Tricia After
Tricia Before Tricia After
Tricia Before Tricia After

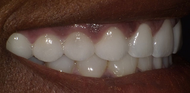
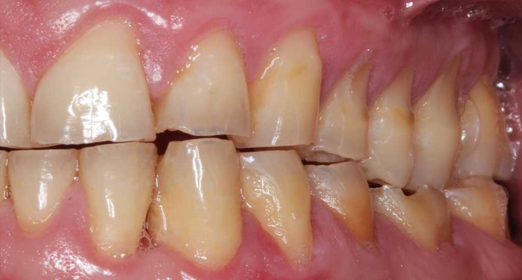
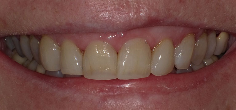
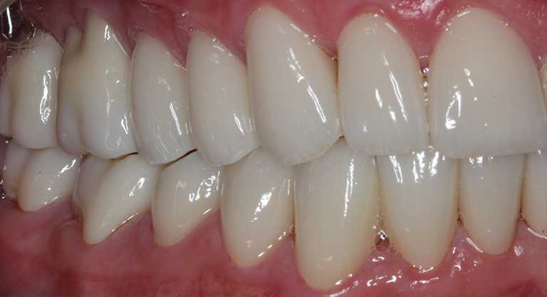
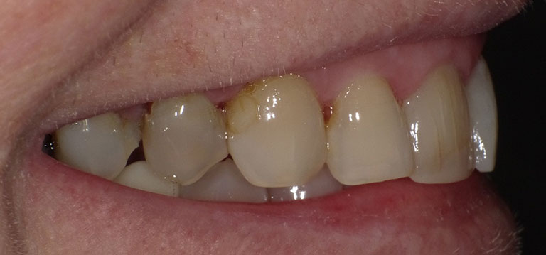
Gerri

Why are these teeth Special?

Here we see our patient had bonding from her previous dentist and over the years it has chipped and has stained.

We were able to minimally prepare the teeth only removing the bonding to replace it with veneers.

Take Note of the Temporaries!

Please take note of the image of the temporaries this is a very important, often overlooked part of treatment. In this stage we are able to make adjustments to length shape and form. We are able to show or patients what rounded versus square edges look like and alter almost everything about the smile.

We call this the “Dress Rehearsal” so there are no surprises when the final restorations come. The porcelain can be made to look very close to what we have created in the temporary phase. This is where the artistic eye comes into play to give each of our patients an individual smile that they are sure to love!

Gerri Before Gerri After
Gerri Before Gerri After
Gerri Before Gerri After

Manny

Why are these teeth Special?

Treatment of a patient who has severely worn teeth due to grinding (Bruxism).

As you can see from our patients before pictures the teeth are severely worn. We selected a combination of different types of crowns to give us the right combination of great strength and beauty to prevent wearing or breakage of the teeth after his mouth was restored.

We used crowns designed by computer and milled from a solid piece of ultra-strong porcelain called zirconia for the back teeth. As we come forward in our patient’s mouth we needed something that is more aesthetic so we use a hybrid that gives us strength and beauty. In this case the front crowns have an understructure that is milled from a solid block and beautiful porcelain is hand applied to give his teeth a beautiful natural appearance.

Teeth in Four Days!

In this case using these techniques and chairside technology were able to complete his entire full mouth rehabilitation in just four visits.

Manny Before Manny After
Manny Before Manny After
Manny Before Manny After
Manny Before Manny After
Manny Before Manny After

Holly

Why are these teeth Special?

Here we see a patient who has been treated with a combination of veneers alongside a single tooth crown. We have featured this to show how natural looking both crown and veneers can be.

Shade is in the hands of our patients. If you are looking to have a glittering bright white Hollywood smile you can or you can simply blend in and make your smile restoration invisible.

Take note of the details within the porcelain here is what sets us apart… it is the art of shape form and character that makes the smile!

Holly Before Holly After
Holly Before Holly After

Emily

What makes this smile so special?

Here we see simply two veneers side by side on the front two teeth. What makes this so special is our ability to blend just two teeth into the surrounding teeth to look extremely natural.

Translucency!

Take note of the biting edges of the front two teeth where you can see though them this gives the teeth a very youthful natural appearance.

Emily Before Emily After

Kathleen

Kathleen Before Kathleen After
Kathleen Before Kathleen After

Jane

Jane Before Jane After
Jane Before Jane After

Lesley

Lesley was unhappy with the spacing in her smile. She wanted a more natural appearance which we were able to achieve and close the spacing using veneer therapy. Beautiful smile, Happy patient!

Lesley Before Lesley After
Lesley Before Lesley After
Lesley Before Lesley After

Andrew

Andrew Before Andrew After
Andrew Before Andrew After

Clayton

Clayton Before Clayton After
Clayton Before Clayton After
Clayton Before Clayton After