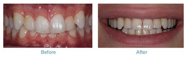
Invisalign is a means to straighten teeth in the most non-invasive way. Invisalign uses a series of clear plastic aligners which are worn over your teeth to incrementally move the teeth into alignment. The Invisalign aligners are changed every two weeks and are worn throughout the day, but can be removed by the wearer to eat or drink. Patients love this therapy because the Invisalign aligners are virtually invisible and nobody has to know they are having orthodontic therapy.
Actual patient of Dr. Sellinger
