Achieve the Smile you’ve always Dreamed of…

What are Porcelain Veneers?

Think of veneers as a shield for your teeth. They are about as thick as your finger nail and are bonded to the front of your teeth. They are always custom made for you, ensuring that you get the best results possible. Once on, you will have that perfect smile you have dreamed of.

Manhattan Dental Veneers

Are Veneers Difficult?

Not at all. Applying porcelain veneers is considered to be a conservative form of treatment despite the dramatic results it offers. Applying them is quick and easy, and the entire process should only take 3 visits from the consultation to the final result.

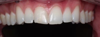
Elite-Before

Dental Veneers Manhattan
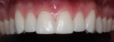
Elite-Final

New York City Dental Veneers
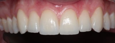
Elite-Temp

Dental Veneers New York City

What Problems Can Veneers Correct?

Veneers can be used to correct a wide variety of dental problems, as we noted above. They can close gaps—removing the need for braces—as well as repair teeth that have become worn down or chipped. Discoloration is hidden behind the veneers, and you can customize their color to get the look you want. In some cases, they can even be used to correct problems with alignment, allowing the patient to avoid more invasive treatment.

Why Choose Veneers Over Other Options?

In some cases, there are no other options. However, in cases where there are, veneers usually offer longer lasting results. Veneers are resistant to breaking, chipping, staining, and wear on the surface. In fact, they are better at avoiding these problems than your natural teeth are. They are biocompatible, which means that they will not cause secondary problems to your dental health. And they transform your teeth in a way that few other options can.

What Sets Us Apart?

We create your veneers ourselves in our own, exclusive dental laboratory. This allows us to control every step of the process and exercise our own, high quality control standards. We utilize only premium materials in our manufacturing process, such as Noritake TM porcelain, and craft our veneers using modern technology, such as CEREC milled zirconia crowns.

 Advantages of veneers

  • Veneers are significantly more resistant to staining than bonding, in fact, they are even more resistant to stains than natural teeth.
  • Veneers are more resistant to chipping and fracturing than bonding and can endure about the same stresses as natural teeth.
  • Porcelain, the material veneers are made of is extremely biocompatible which means that there is minimal to no risk of gum problems arising.
  • Porcelain veneers can drastically change the look of your smile.

 Disadvantages of veneers

  • Veneer therapy involves permanently removing tooth structure (approximately .5 mm) to make room for the porcelain.
  • Veneers more often than not have to be replaced if a fracture occurs.
  • Veneers are more costly than bonding.